Top.Mail.Ru

Виниры

Что такое виниры

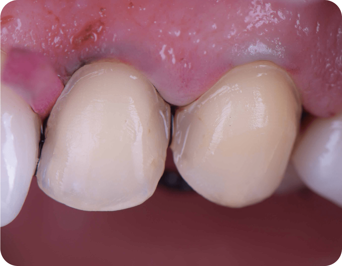
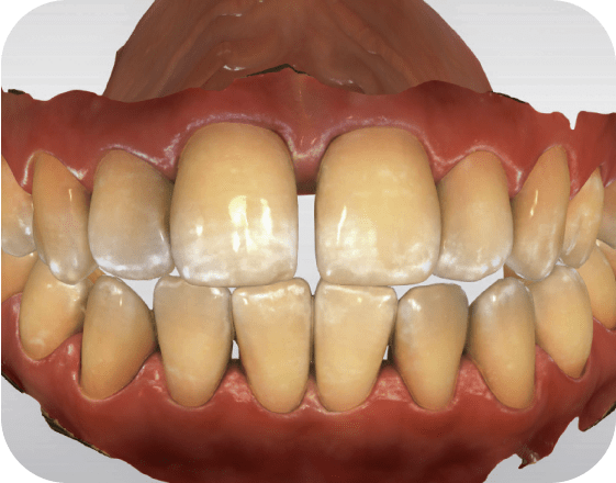
Виниры — тонкие керамические накладки на зубы для изменения формы, цвета и размера зубов

  • 1

    Естественный вид

    Натуральные виниры сложно отличить от настоящих зубов. Это не белоснежная улыбка, которая бросается в глаза

  • 2

    Долговечность

    Виниры не портят, а защищают собственные зубы от кариеса, чувствительности и стираемости

  • 3

    Минимальная обточка

    Обработка зубов проходит лишь на небольшую толщину зуба в пределах эмали

Виниры баннер

Как устанавливают виниры?

1
Первичная консультация
На первичной консультации мы собираем полную диагностику состояния здоровья пациента

  • Компьютерная томография
  • Фотографирование зубов
  • Цифровое сканирование
1
1
1
2
Подготовка к винирам
Перед установкой виниров мы делаем тщательную подготовку зубов: исправление прикуса, пластика десны, лечение кариеса, отбеливание зубов

Не всегда можно установить виниры за 1 неделю
1
1
1
3
Обработка зубов
Философия натуральных виниров подразумевает минимальную обточку зуба в пределах эмали 0.5 мм. Это не разрушается собственные зубы

Обработка зубов проходит со специальным увеличением: микроскоп или бинокуляры
1
4
Зуботехнический этап
В клинике Дентамед имеется собственная зуботехническая лаборатория, где изготавливаются керамические зубы

Зубные техники послойно наносят керамику при температуре обжига 800 градусов. Так достигается высокая прочность виниров

Срок изготовления 14-28 дней
4
5
Фиксация виниров
Мы фиксируем керамику после полного одобрения со стороны пациента по форме, цвету и длине зубов

Виниры фиксируются на специальный стоматологический цемент для виниров

Срок службы 10-15 лет
5

Виниры бывают разные

raz1

Многие люди думают, что виниры - это искусственные и яркие зубы, но это не так
Цвет и форма виниров подбираются индивидуально для каждого пациента


Часто задаваемые вопросы

Устанавлить виниры - это больно?

Обработка зубов и фиксация виниров проходят под местной анестезией, так что это абсолютно безболезненный процесс

Какой срок службы виниров?

Средний срок службы виниров 10-15 лет. Причем портятся не сами зубы, а керамика - стирается, становится пористой и шершавой. В дальнейшем, при замене виниров, керамика снимается лазером Waterlase, а сам зуб больше не обтачивается

Портятся ли свои зубы под винирами?

Перед установкой виниров мы обязательно пролечиваем зубы и меняем старые пломбы, сами виниры герметично защищают зубы от внешней среды, поэтому кариес под винирами не образуется

Сколько минимум нужно виниров?

Минимальное рекомендуемое количество виниров - 10. Именно столько зубов видно при улыбке, нижние зубы отбеливаются. Если есть проблемы с прикусом, стираемостью зубов, то желательно установить виниры на все зубы

Стоимость услуг

Выберите город:
Чебоксары
Москва

Керамический винир e.max

50 000 ₽
70 000 ₽

Керамические виниры 10 зубов
(только верхняя челюсть)

500 000 ₽
700 000 ₽

Керамические виниры 20 зубов
(по 10 зубов на 2 челюсти)

1 000 000 ₽
1 400 000 ₽

Керамические виниры 28 зубов
(виниры на все зубы)

1 400 000 ₽
1 960 000 ₽
Все цены указаны под ключ без скрытых платежей (снимки, изоляция, анестезия)

Записаться на лечение

Заполните форму, мы свяжемся с вами и запишем к нужному специалисту
Что беспокоит
Первичная консультация
Дентальная имплантация
Острая боль
Другое
Выбрать клинику
Клиника в СЗР
Клиника в центре
Клиника в Новом городе
или свяжитесь самостоятельно
Запись на лечение Дентамед

Элемент не найден!