Top.Mail.Ru
Дентамед

Ортодонтические мини-винты

Чтение статьи ≈ 3 минуты

Что такое мини-винты и для чего они нужны?

Ортодонтические мини-винты - маленькие титановые импланты, которые используются в качестве дополнительной опоры для перемещения зубов

1
1

К мини-винту крепится пружина или цепочка, которые обспечивают тягу зуба в заданном направлении

Мини-винты позволяют точно контролировать процесс передвижения зубов, поэтому результат лечения достигается быстрее

Когда требуется использование мини-имплантов?

В некоторых ситуациях свои зубы не могут быть опорой для перемещения зубов, так как происходит эффект отдачи - если дать на них тягу, зубы передвигаются в нежелательном направлении

Показания к мини-винтам:

  • Создание места для имплантации
  • Исправление наклона зубов
  • Дистализация (перемещение назад) зубного ряда

Преимущества мини-винтов:

  • Не срастаются с костной тканью
  • Легко и безболезненно вкручиваются в кость
  • Не возникает эффект отдачи собственных зубов

Как устанавливают мини-винты?

Установка винта проходит под местной анестезией и занимает 5-10 минут
Обычно винты устанавливает стоматолог-хирург, но иногда это делает ортодонт

1
1

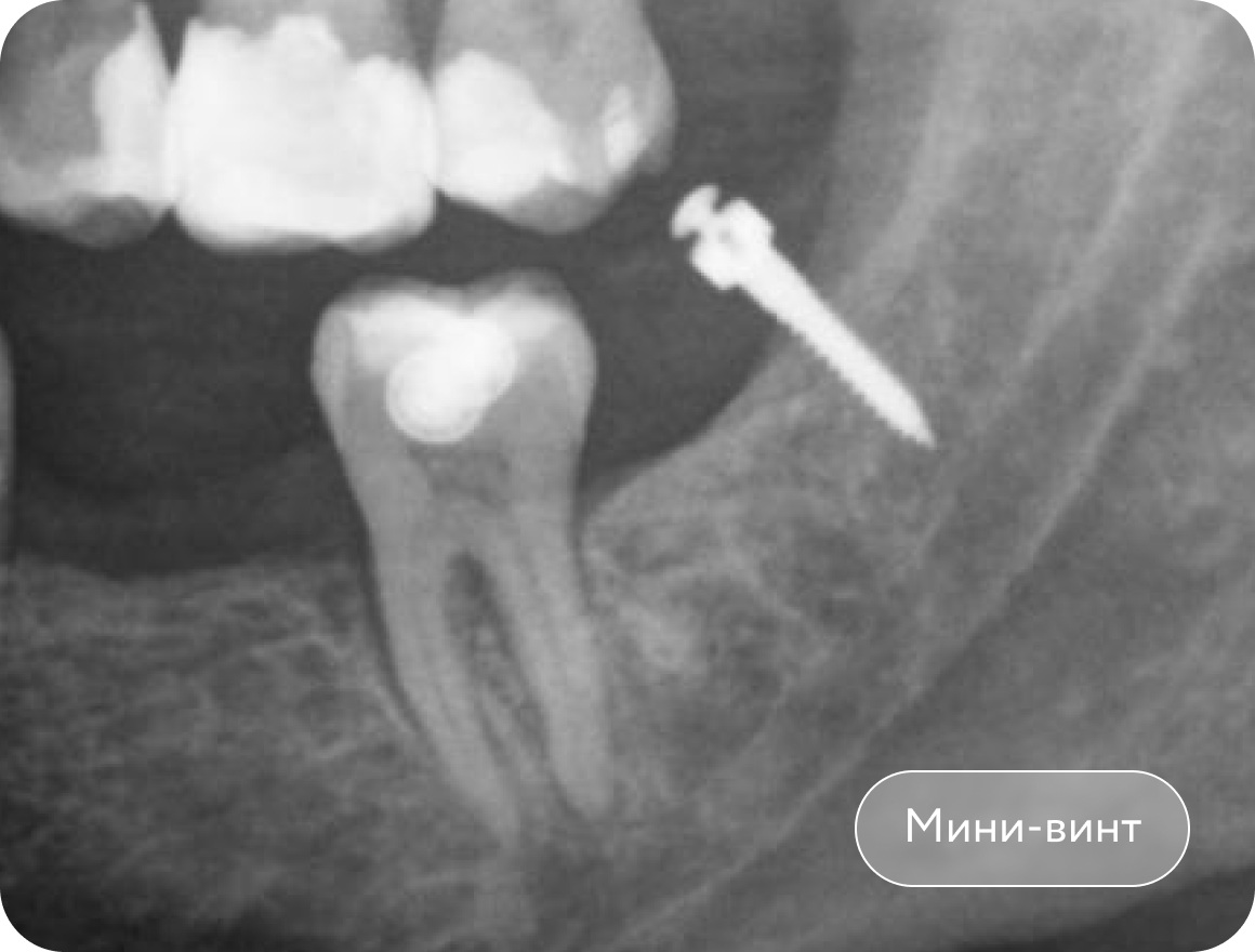
Отсутствие 1 моляра - “шестерки”. Зуб мудрости прорезался и наклонил 2 моляр
(седьмой зуб) в сторону отсутствующего 6 зуба. Недостаток места для имплантации

1
1

Установка мини-винта, вытягивание 2 моляра с помощью резинок. Создание места для имплантации в области 1 моляра. Срок лечения 3 месяца

Продолжительность лечения с мини-винтами

В среднем мини-винты устанавливают на 4-6 месяцев

Особенность ортодонтических винтов состоит в том, что они не срастаются с костью, как дентальные импланты для коронок, и легко удаляются после достижения желаемого результата

Рекомендации при лечении с мини-винтами

Мини-винты могут расшататься и выпасть во время лечения. В таких ситуациях, немедленно обратитесь к своему доктору

Будьте аккуратны при приеме пищи и чистке зубов, старайтесь не задевать область винта при чистке зубов

Стоимость установки мини-винтов

Во многих клиниках установка мини-винта стоит от 8 000 до 20 000 ₽

В клинике Дентамед установка мини-винта стоит 10 000 ₽

Статьи

Элемент не найден!