Top.Mail.Ru
Дентамед

Имплантация все-на-4

Что такое имплантация все-на-4

Имплантация Все-на-4 — это восстановление утраченных зубов с помощью несъемных протезов на имплантах

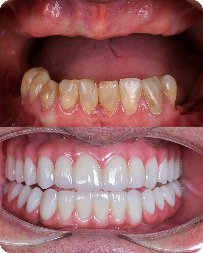
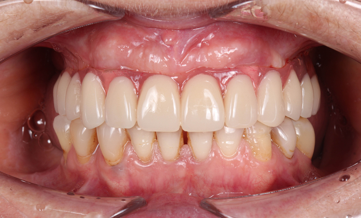
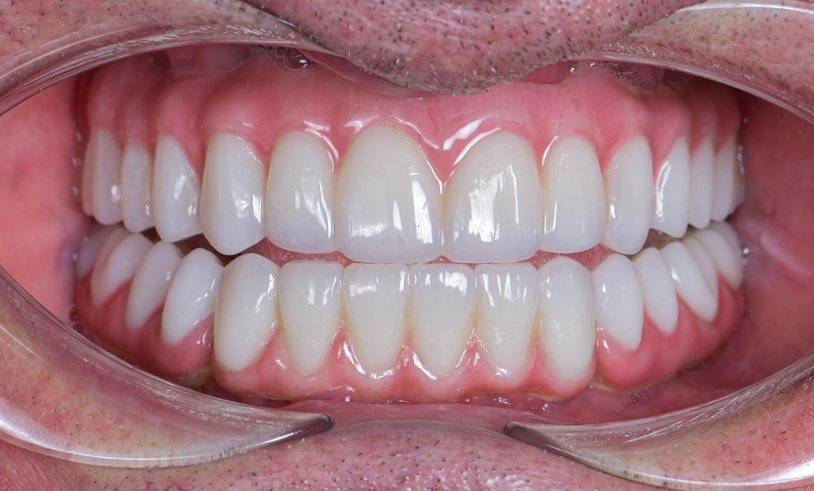
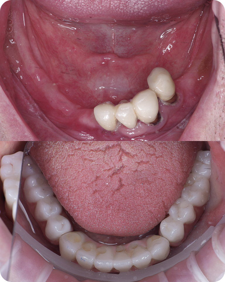
Улыбка до/после

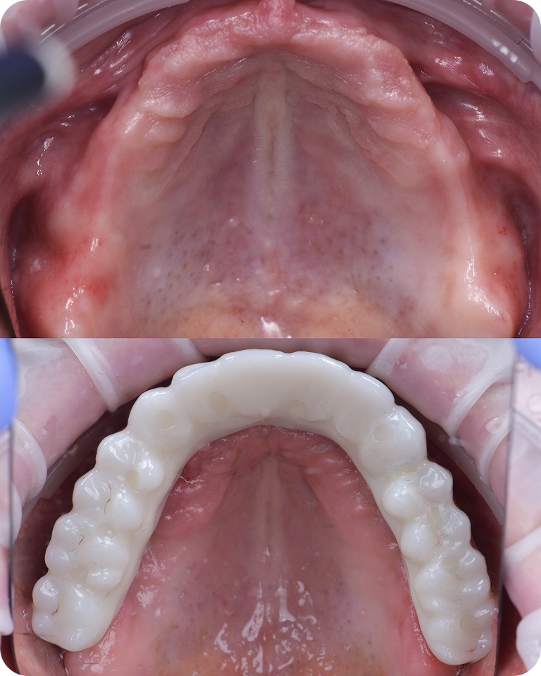
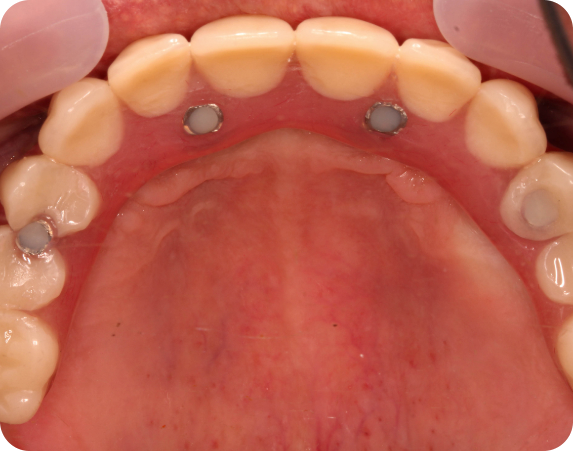
Несъемные протезы

Открытое небо

Даже при сильной атрофии

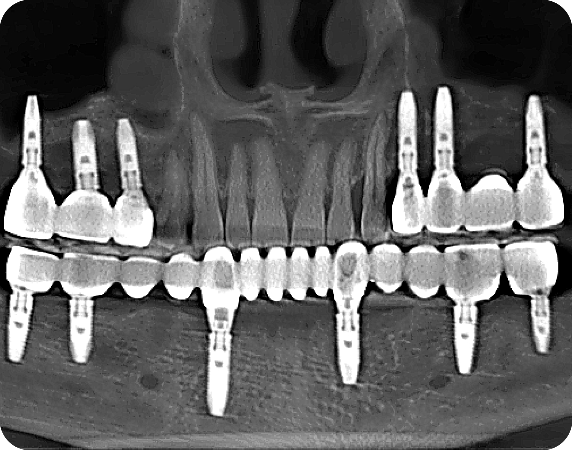
Этапы имплантации All-on-4/6

1
Консультация и диагностика
На первичной консультации мы собираем полную диагностику здоровья пациента
  • Компьютерная томография
  • Фотографирование зубов
  • Цифровое сканирование
1
2
Планирование операции
Мы планируем операцию и готовим протез еще до начала операции, чтобы пациент ушел с зубами после приема
1
3
Установка имплантов
Устанавливаем импланты в правильную позицию в костной ткани, чтобы импланты служили максильно долго и не застревала пища между зубами
1
4
Установка временного протеза

В большинстве случаев мы устанавливаем временный протез на импланты в день операции. Но не всегда это возможно. Если кость слабая, и не удалось застабилизировать импланты, то устанавливаем временный съемный протез на имплантах


После приживления имплантов через 4-6 месяцев съемный протез переводится в несъемный

1
5
Установка постоянного протеза
Через 4-6 месяцев после приживления имплантов, временные протез следует поменять на постоянный. Есть 2 вида финального протеза:
  • Пластиковый. Более бюджетный протез, который следует менять каждые 3-5 лет. Стоимость 70.000 ₽
  • Циркониевый. Постоянный керамический протез, который устанавливается на 15-20 лет. Стоимость 400.000 ₽
1

Сколько имплантов надо ставить на одну челюсть?

4 импланта
  • Минимальное количество имплантов
  • Бюджетный план лечения
  • Без костной пластики
Стоимость под ключ 300 000 ₽
6 имплантов
  • Оптимальное количество имплантов
  • Хорошая стабильность протеза
  • Без костной пластики
Стоимость под ключ 400 000 ₽
8 имплантов
  • Наилучшее количество имплантов
  • Надежная конструкция
  • Без костной пластики
Стоимость под ключ 500 000 ₽

Постоянное протезирование после приживления имплантов

Пластмассовый протез
  • Средняя эстетика
  • Срок службы 5-7 лет
  • Хорошая прочность
Стоимость 50 000 ₽
Циркониевый протез
  • Высокая эстетика
  • Срок службы 10-15 лет
  • Хорошая прочность
Стоимость 400 000 ₽

Стандарты клиники Дентамед

Комплексный подход к лечению
  • Компьютерная томография для всех пациентов входит в стоимость лечения
  • Главные врачи всех отделений курируют работу специалистов на всех офисах
  • Координаторы лечения помогают пациентам в сопровождении во время лечения
  • Собственная зуботехническая лаборатория, где изготавливаются виниры, коронки, элайнеры
  • Лечение с использованием коффердама, сканеров, микроскопов и бинокуляров
Современное оборудование
  • 2 компьютерных томографа KaVo
  • 10 дентальных микроскопов Leica и Zumax
  • 4 цифровых сканера Primescan и 3shape
  • 3 фрезерных станка для циркония и керамики
  • 6 3D принтеров Asiga и Creality
  • 3 гигиенических аппарата GBT Prophylaxis

Собственная зуботехническая лаборатория

Стандарты лаборатории

Мы изготавливаем коронки, виниры, элайнеры и протезы в собственной зуботехнической лаборатории

  • В лаборатории работают 10 техников
  • Старший техник проверяет все изготовления
  • Все работы через цифровое 3D моделирование
  • Делаем коронки со специальной оптикой, как в ювелирном деле
  • Наша лаборатория функционирует с момента основания клиники (2004 год)

Средний объем лаборатории 500 керамических зубов в месяц

Оборудование в лаборатории
  • 3D принтеры Asiga, Creality
  • Фрезерные станки для циркония Imes-Icore
  • Фрезерный станок для керамики CEREC MC XL
  • Программный софт Exocad
  • Микроскопы Zeiss
  • Керамика E.max (Ivoclar)

Часто задаваемые вопросы

Сколько имплантов лучше установить?

8 имплантов на 1 челюсть - это самая надежная конструкция в полости рта. Но, по показаниям, можно установить и 4-6 имплантов

Могут ли не прижиться импланты?

Импланты приживаются с вероятностью 98%. Есть группа риска: курильщики, сахарный диабет, лучевая терапия при онконастороженности

Можно установить импланты под наркозом?

Да, в нашей клинике есть возможность установить импланты под наркозом и седацией

Какая гарантия на работу?

Гарантия на протез и импланты 1 год. Если что-то случится в этот период, мы переделаем работу по гарантии

Стоимость услуг

Выберите город:
Чебоксары
Москва

Все-на-4 Nobel
(1 челюсть)

300 000 ₽
300 000 ₽

Имплантация Все-на-6 Nobel
(1 челюсть)

400 000 ₽
400 000 ₽

Имплантация Все-на-8 Nobel
(1 челюсть)

500 000 ₽
500 000 ₽

Постоянный пластиковый протез
(1 челюсть)

70 000 ₽
70 000 ₽

Постоянный циркониевый протез
(1 челюсть)

400 000 ₽
400 000 ₽
Все цены указаны под ключ без скрытых платежей (снимки, изоляция, анестезия)

Записаться на лечение

Заполните форму, мы свяжемся с вами и запишем к нужному специалисту
Что беспокоит
Первичная консультация
Дентальная имплантация
Острая боль
Другое
Выбрать клинику
Клиника в СЗР
Клиника в центре
Клиника в Новом городе
или свяжитесь самостоятельно
Запись на лечение Дентамед

Элемент не найден!