Top.Mail.Ru
Дентамед

Детские коронки

Детская коронка - защитный колпачок, который полностью покрывает зуб со всех сторон.
Коронки используют при сильном разрушении зуба по причине кариеса или травмы

Какие показания к установке коронки на молочный зуб?

Коронки - это надежный способ сохранить молочные зубы до их смены на постоянные

  • Защита от повторного кариеса
  • Полноценное пережевывание пищи
  • Формирование правильного прикуса

Какие коронки бывают?

Мы устанавливаем коронки из гипоаллергенных материалов медицинского назначения
1
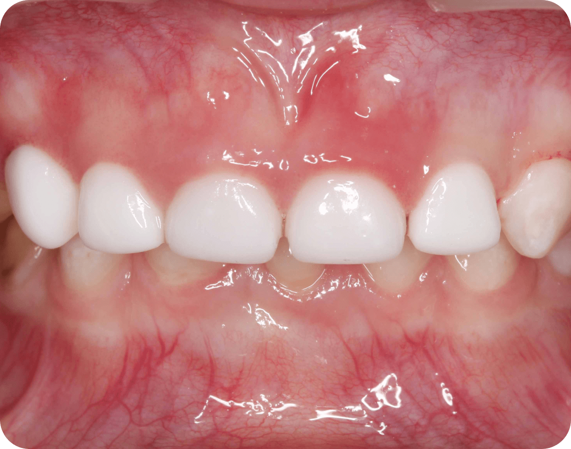
Циркониевые коронки
Устанавливаются на передние зубы и выглядят, как собственные молочные зубы
1
2
Металлические коронки
Устанавливаются на жевательные зубы. Металл более мягкий материал, чем цирконий, поэтому лучше подходит для пережевывания пищи
2

Часто задаваемые вопросы

Как ухаживать за коронками?

За коронками ухаживать, как за собственными зубами. Необходимо чистить зубы два раза в день: утром и вечером. Обязательно посещать стоматолога каждые полгода

Чем коронка лучше пломбы?

Пломба - пористый материал, который со временем дает усадку и окрашивается пищевыми красителями. Коронка служит до смены молочных зубов на постоянные

Может ли образоваться кариес под коронкой?

Не может, так как коронка плотно прилегает к зубу и окружает его со всех сторон

Стоимость услуг

Выберите город:
Чебоксары
Москва

Металлическая коронка на молочный зуб

7 200 ₽
7 500 ₽

Циркониевая коронка на молочный зуб

7 750 ₽
7 500 ₽
Все цены указаны под ключ без скрытых платежей (снимки, изоляция, анестезия)

Записаться на лечение

Заполните форму, мы свяжемся с вами и запишем к нужному специалисту
Что беспокоит
Первичная консультация
Дентальная имплантация
Острая боль
Другое
Выбрать клинику
Клиника в СЗР
Клиника в центре
Клиника в Новом городе
или свяжитесь самостоятельно
Запись на лечение Дентамед

Элемент не найден!