Зубы мудрости (восьмерки) коварные зубы, и в большинстве случаев необходимо их удалить. Несмотря на высокий уровень стоматологии в России, удаление зубов мудрости достаточно стрессовая процедура для многих пациентов
Прорезывание
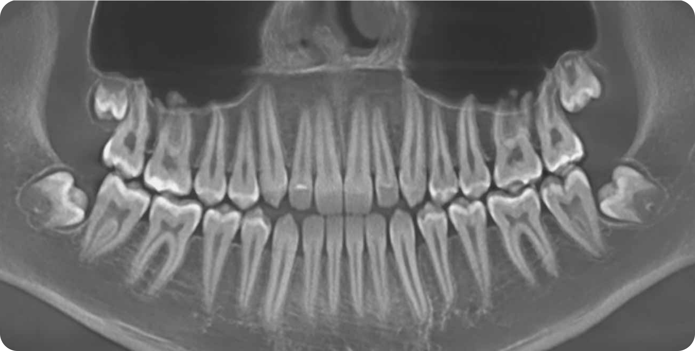
Обычно, зубов мудрости 4, и они начинают прорезываться в возрасте 16-25 лет
Но бывают ситуации, когда они не прорезываются или вовсе отсутствуют
Зубы мудрости можно считать лишними зубами, так как зачастую им не хватает места для прорезывания и участия в жевании
В каких случаях нужно удалять зубы мудрости?
в 95% случаев
1. Неправильно растут и не участвуют в жевании
2. Смещают соседние зубы и образуют скученность зубов
3. Покрываются кариесом, налетом или зубным камнем
4. Образуют карманы и вызывают воспаление десны
В каких случаях можно НЕ удалять зубы мудрости?
в 5% случаев
1. Зуб нормально прорезался и участвует в жевании
2. Не появляется скученность зубов и нарушение прикуса
3. Нет кариеса и зубных камней на зубе
4. Нет десневых карманов, в которых застревает еда
Различные варианты расположения зубов мудрости
1
Легкое удаление зуба мудрости
Зуб полностью прорезался
Один корень или несколько срощенных корней
Зуб растет вертикально
Длительность удаления 5-15 минут
2
Среднее удаление зуба мудрости
Зуб прорезался только частично
Два несросшихся корня или более
Зуб растет под наклоном
Длительность удаления 20-30 минут
3
Сложное удаление зуба мудрости
Зуб полностью под десной
Два или более корней
Зуб близко прилегает к анатомическим образованиям (нижнечелюстной нерв, гайморова пазуха)
Длительность удаления 30-60 минут
С какого возраста можно удалять зубы мудрости?
Зачатки зубов мудрости можно удалять с 14-15 лет, пока корни зубов не успели сформироваться, а сами зубы не успели оказать давление и сместить соседние зубы
Длительность удаления 15-20 минут
Как подготовиться к удалению зуба мудрости?
1. Обратиться в профессиональную клинику
2. Сделать 3д снимок: компьютерную томографию перед удалением
3. Выспаться, не употреблять алкоголь за 3 суток до удаления
4. Плотно поесть за 2 часа до процедуры
5. Расслабиться и довериться профессионалам своего дела
Удаление зубов мудрости
Часто задаваемые вопросы
Отек после удаления – это нормально?
Да, это абсолютная нормальная реакция организма на хирургическое вмешательство. Максимальный отек развивается на 3 сутки, затем идет на спад
Нужно ли пить антибиотики после удаления?
При простом или среднем удалении мы не назначаем антибиотики. Если было сложно удаление, назначаем Амоксиклав 5-7 дней 2 раза в день по 625 мг
Почему может пропасть чувствительность губы, языка?
Так бывает, если зуб близко прилегал к нижнечелюстному нерву, и во время удаления корни надавили на нерв. Обычно, это проходит в течении 2-3 месяцев
Сколько по времени заживают зубы мудрости?
Период заживления раны обычно составляет 10-14 дней. Далее, по назначению врача, снимаются швы и послеоперационный период считается завершенным
Стоимость услуг
Выберите город:
Чебоксары
Москва
Удаление зуба мудрости
8 550 -
26 500 ₽
10 000 -
20 000 ₽
Удаление постоянного зуба
6 450 ₽
8 000 ₽
Все цены указаны под ключ без скрытых платежей (снимки, изоляция, анестезия)
На нашем сайте используются файлы cookies, которые делают его более удобным для каждого пользователя. Посещая страницы сайта, вы даете
согласие на обработку персональных данных в соответствии с Политикой.
Cookie можно отключить в любой момент в настройках вашего браузера.
Вы не прошли проверку на спам
Ваша заявка отправлена
Мы свяжемся с Вами для уточнения деталей. Спасибо, что выбрали Дентамед
Элемент не найден!
Ваша заявка отправлена
Мы свяжемся с Вами для уточнения деталей. Спасибо, что выбрали Дентамед