Top.Mail.Ru
Дентамед

Элайнеры

Элайнеры — это тонкие капы для выравнивания зубов, является современным методом коррекции прикуса для людей всех возрастов

Перед пациентами часто встает вопрос – что лучше: элайнеры или брекеты?

Критерии
Элайнеры
Брекеты
Эффективность
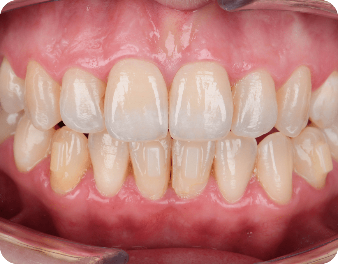
Легко исправляют простую или среднюю скученность зубов.

Но элайнеры неэффективны при исправлении серьезных проблем с прикусом
Успешно справляются во всех клинических случаях, в том числе: открытый, дистальный, глубокий прикус
Дисциплина
Элайнеры нужно постоянно снимать перед приемом пищи и чисткой зубов
Брекеты несъемные. Они будут работать на зубах 24/7 и их не нужно постоянно снимать
Гигиена
Можно снимать перед приемом пищи или чисткой зубов
Затрудненная гигиена, придется тщательно следить за ней
Эстетика
Прозрачные и незаметные для окружающих
Заметные на зубах, даже если
используются керамические брекеты
Сроки лечения
Быстрее исправляют прикус, чем брекеты
Средний срок лечения 8-12 месяцев
Средний срок лечения на брекетах 1.5-2 года
Посещение клиники
Посещение клиники раз в 3-4 месяца
Частые посещения клиники раз в 1-2 месяца
Комфорт
Элайнеры тонкие 0.8 мм толщиной, не нарушают дикцию.
Человек быстро адаптируется к ношению элайнеров (3-4 дня)
Лечение на брекетах может сопровождаться дискомфортом на зубах и деснах
Вывод
Элайнеры эстетичные и лучше всего подойдут в легких ситуациях с небольшой
скученностью зубов. Брекеты подойдут во всех ситуациях, но менее эстетичные

Этапы лечения на элайнерах

1
Первичная консультация

На первичной консультации мы собираем полную диагностику состояния здоровья пациента


  • Компьютерная томография
  • Фотографирование зубов
  • Цифровое сканирование
1-1
1-1
1-1
2
Презентация плана лечения

Мы рассказываем пациенту подробный план лечения


  • Продолжительность лечения
  • Количество визитов в клинику
  • Стоимость лечения
  • Предварительная подготовка (лечение кариеса, удаление зубов мудрости, имплантация)
2
3
Старт лечения. Рекомендации
  • Капы носить 22 часа в сутки, снимая на прием пищи и чистку зубов. В элайнерах можно пить воду
  • Каждая капа носится 10 дней
  • Мы выдаем 10-15 пар кап на руки
  • Контрольные осмотры раз в 3-4 месяца
3
4
Финальный результат
В конце лечения мы убеждаемся,
что зубы стали ровными, и пациент полностью удовлетворен результатом

Фиксируем положение зубов
с помощью несъемного ретейнера
или съемной прозрачной капой
4

Все про элайнеры

Часто задаваемые вопросы

Нужно ли удалять зубы мудрости?

В 95% случаев мы рекомендуем удалить все 4 зуба мудрости, так как они могут мешать перемещению зубов. В редких случаях их можно не удалять. Требуется консультация специалиста

Обязательно ли нужен ретейнер после лечения?

Да, мы всегда устанавливаем ретейнеры после лечения, и это уже входит в стоимость. Ретейнеры носятся 5-10 лет

Нужно ли оплачивать весь курс лечения полностью?

Не обязательно вносить всю сумму сразу. Чтобы начать лечение, нужно оплатить 30% 
от стоимости элайнеров. Остальная сумма оплачивается в течении года по ходу лечения

Стоимость услуг

Выберите город:
Чебоксары
Москва

Элайнеры - капы для прикуса

299 000 ₽
400 000 ₽
Все цены указаны под ключ без скрытых платежей (снимки, изоляция, анестезия)

Записаться на лечение

Заполните форму, мы свяжемся с вами и запишем к нужному специалисту
Что беспокоит
Первичная консультация
Дентальная имплантация
Острая боль
Другое
Выбрать клинику
Клиника в СЗР
Клиника в центре
Клиника в Новом городе
или свяжитесь самостоятельно
Запись на лечение Дентамед

Элемент не найден!