Top.Mail.Ru
Дентамед

Лечение каналов

Лечение каналов (удаление нерва зуба) необходимо, когда кариес слишком глубоко проникает в зуб и поражает сосудисто-нервный пучок

Основная цель лечения каналов - сохранить корень зуба от разрушения

Стоматолог-терапевт удаляет воспаленный нерв, прочищает каналы зуба и заполняет пломбировочным материалом, а сверху устанавливает пломбу или коронку

first

Современные стандарты лечения каналов

1
Коффердам – изолирующий платок
Латексный платок не дает протекать слюне во время установки пломбы

Это обеспечивает высокое качество приклейки пломбы к зубу
1
2
Работа с увеличением
Современная стоматология подразумевает работу с бинокулярами (специальные очки) или микроскопом
2
3
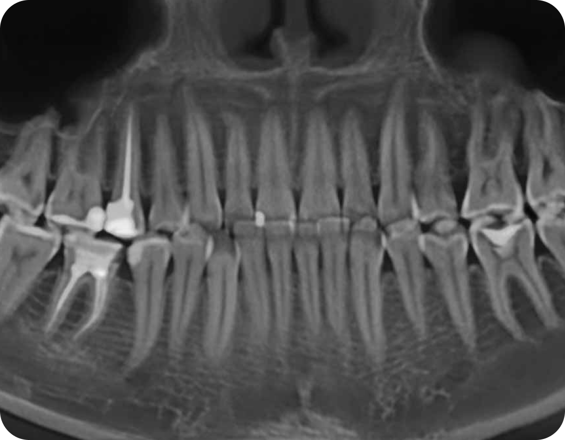
Компьютерная томография
Компьютерная томография - золотой стандарт лечения в клинике Дентамед

Мы делаем ее абсолютно каждому пациенту в рамках первичной консультации
3

Перелечивание каналов

Некачественно вылеченный зуб (затек слюны во время лечения, негерметичное пломбирование каналов, некачественные материалы) со временем может воспалиться и образовать кисту корня. В таких случаях требуется повторное лечение каналов

remake

Для чего нужна коронка?

После лечения каналов, зуб подвержен образованию трещин и сколов, его можно сравнить с иссохшим деревом. Обычно, такие зубы не беспокоят 5-10 лет, затем скалываются
или трескаются

tresk

Наша рекомендация - покрывать зубы с удаленным нервом керамическими коронками сразу после лечения. Коронки служат защитными колпачками для зубов, предотвращая их от разрушения

norm

Часто задаваемые вопросы

Для чего удаляют нерв в зубе?

Воспаленный нерв медленно умирает и инфицируется, образуя кисту корня.
Стоматолог-терапевт промывает инфекцию, стерилизует каналы и заполняет их пломбировочным материалом

Это болезненная процедура?

Процедура безболезненная, выполняется под местной анестезией. Может быть небольшая чувствительность после лечения в течение 3 дней

Сколько посещений требуется?

Это зависит от глубины кариеса и строения корневых каналов. В большинстве случаев, это 2 визита, но может быть 2-3 посещения по 1 часу

Сколько служат зубы с удаленным нервом?

Основная причина потери зубов - это трещина корней спустя 5-10 лет после удаления нерва. 
Если покрыть зуб керамической коронкой сразу после лечения, срок службы зуба - от 15 лет и более

Стоимость услуг

Выберите город:
Чебоксары
Москва

Первичное лечение каналов удаление нерва зуба

от 7 500 ₽
от 10 000 ₽

Перелечивание каналов зуба под микроскопом

от 12 000 ₽
от 15 000 ₽
Все цены указаны под ключ без скрытых платежей (снимки, изоляция, анестезия)

Наша команда

Записаться на лечение

Заполните форму, мы свяжемся с вами и запишем к нужному специалисту
Что беспокоит
Первичная консультация
Дентальная имплантация
Острая боль
Другое
Выбрать клинику
Клиника в СЗР
Клиника в центре
Клиника в Новом городе
или свяжитесь самостоятельно
Запись на лечение Дентамед

Элемент не найден!